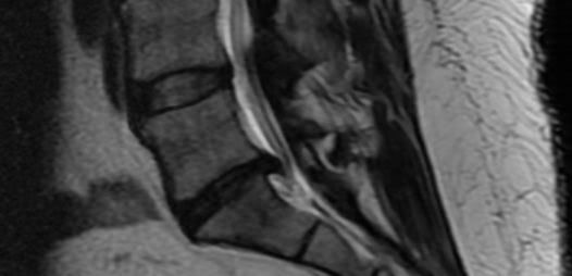
I just had an MRI done and they gave me a disk to take with me for a Doc that will be calling me.
Being nosy I put the sick in the old computer and took a look.
Can anyone tell me how bad is it? Just a heads up on what can be expected.
I won't hold you to your diagnosis.
Yes, look at my lovely back fat.. Cracklins I say, Cracklins.




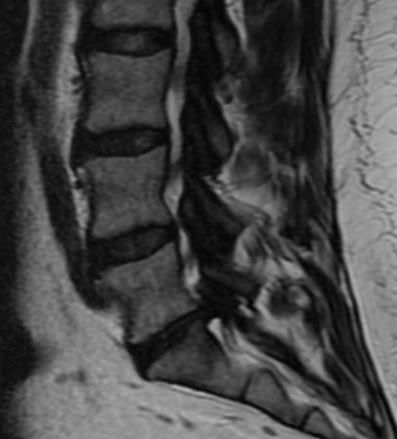
Being nosy I put the sick in the old computer and took a look.
Can anyone tell me how bad is it? Just a heads up on what can be expected.
I won't hold you to your diagnosis.
Yes, look at my lovely back fat.. Cracklins I say, Cracklins.




